AVEC DE PLUS EN PLUS de tumeurs diagnostiquées à un stade peu avancé, le dépistage organisé du cancer colo-rectal met l’accent sur la question de la prise en charge optimale de ces formes précoces. Même si le pronostic est meilleur, près de 20 à 25 % de ces cancers traités très tôt vont récidiver. Or il n’existe aucun marqueur précoce performant pour identifier les sujets à risque, à ce jour. L’équipe INSERM, immunologie et cancérologie intégrative dirigée par Jérôme Galon (INSERM U872) en collaboration avec la plate-forme d’immunologie des tumeurs de l’hôpital européen Georges-Pompidou (AP-HP) dirigée par le Pr Franck Pagès, pourrait bien apporter une solution à ce problème, en montrant le rôle fondamental de l’infiltration immunitaire in situ à un stade précoce.
Depuis plusieurs années, l’équipe de Jérôme Galon et de Franck Pagès cherche à comprendre l’évolution de la réponse immunitaire à tous les stades d’évolution de la maladie. Dans cette étude, les scientifiques se sont attachés aux cancers colo-rectaux à un stade précoce (stades I ou II). Une forte concentration de lymphocytes T cytotoxiques et mémoire au sein de la tumeur est un élément prédictif de l’absence de récidive du cancer et d’une survie prolongée des patients concernés. Selon les chercheurs, « à peine 5 % des patients qui présentaient une forte densité de lymphocytes T cytotoxiques et de lymphocytes T mémoire, ont vu leur cancer récidiver et plus de 85 % de ces malades ont survécu, cinq ans après la découverte du cancer. À l’inverse, ces taux passent respectivement à 75 % et à 27,5 % pour les patients qui avaient une faible densité de ces lymphocytes ».
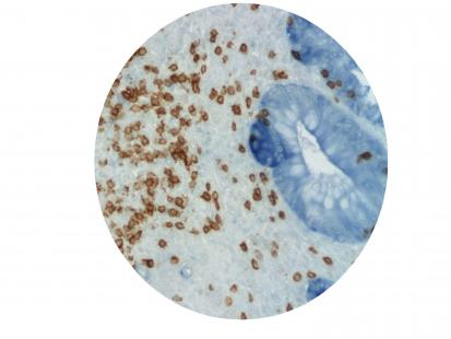
Immunohistochimie, génomique et statistique.
Pour ce travail, les scientifiques ont analysé de façon rétrospective les données de deux larges cohortes totalisant plus de 600 cas : la première étant composée de tous les patients (n = 411) opérés d’un cancer colo-rectal de stade I ou II à l’hôpital Laennec/hôpital européen Georges-Pompidou (Paris) entre 1986 et 2004, la deuxième de biopsies provenant de 212 patients consécutifs ayant consulté dans un hôpital universitaire autrichien (Graz). L’équipe a d’abord étudié l’orientation immunitaire et l’infiltration en cellules T mémoire, à la fois en marge et au centre de la tumeur.
Depuis longtemps, en effet, on suspecte ces cellules de jouer un rôle majeur dans le micro-environnement tumoral, ce qui influencerait alors la dissémination tumorale et la récidive. L’expression génique des cellules T mémoire, la cytotoxicité CD8, l’orientation T-helper 1 (TH1) et T-helper 2 (TH2) a été analysée sur 15 tumeurs à forte densité de cellules mémoire.
Les résultats ont été comparés à ceux observés sur 14 tumeurs à faible densité en cellules mémoire. Ensuite, l’infiltration immunitaire en cellules T mémoire et cellules T cytotoxiques a été mesurée sur les 411 patients parisiens, puis corrélée à l’évolution clinique en stratifiant les patients en quatre catégories selon la durée de survie. La valeur pronostique du score immunitaire a été ensuite validée dans la cohorte autrichienne.
Identifier le risque pour mieux traiter.
Le potentiel cytotoxique du système immunitaire a ainsi été mis en évidence en corrélant le pronostic et l’infiltration tumorale en cellules T à un stade précoce. Dotées de propriétés de re-circulation, les cellules T mémoire persistent de nombreuses années dans l’organisme. Comme des micrométastases et des cellules tumorales occultes sont détectées dans le sang, la moelle osseuse, les ganglions lymphoïdes même à un stade précoce, il est vraisemblable que les cellules T systémiques soient en contact étroit avec les cellules tumorales. Si d’autres travaux par le passé n’étaient pas arrivés aux mêmes conclusions, cette étude associe des données d’orientation fonctionnelle immunitaire et des éléments très précis de densité cellulaire sur différentes zones tumorales.
Dans les cancers colorectaux à un stade précoce, l’infiltration tumorale en cellules T cytotoxiques et en cellules T mémoire pourrait être ainsi utilisée pour identifier les sujets à haut risque de récidive et adapter au mieux leur prise en charge. De plus, pour empêcher les récidives, cette découverte suggère une stratégie visant à stimuler la réponse immunitaire : l’immunothérapie.
Insolite
Épiler ou pas ?
La Pharmacie du Marché
Un comportement suspect
La Pharmacie du Marché
Le temps de la solidarité
Insolite
Rouge à lèvres d'occasion